Phần bài tập tự thực hành



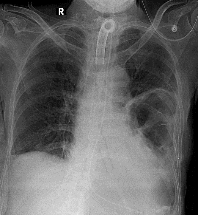
1-Có mở khí quản ra da, đang đặt canule 2-Tổn thương phế nang thùy dưới phổi trái kèm nhiều bóng khí, có tạo nhiều vách bên trong, không ghi nhận mực nước hơi, phần tổn thương nằm chồng lên hình ảnh bóng tim trái => Viêm phổi hoại tử, abcess phổi, .. 3-Tràn dịch màng phổi hai bên lượng ít làm mờ góc sườn hoành 4- có đặt ống sonde dạ dày, nằm đúng vị trí