Xem trang đào tạo trực tuyến
Phần bài tập tự thực hành
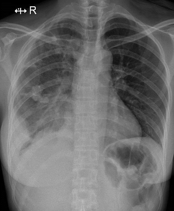
Hãy phân tích tình huống
1-Tổn thương phế nang dạng nốt rải rác phổi (P) => Viêm phổi 2-Tràn dịch màng phổi (P)
Xem kết quả
Câu mới