Xem trang đào tạo trực tuyến
Phần bài tập tự thực hành
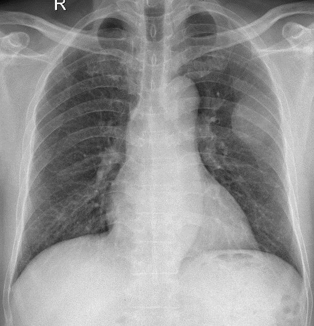
Hãy phân tích tình huống Nam 56 tuổi
1-U màng phổi (T)
Xem kết quả
Câu mới