Xem trang đào tạo trực tuyến
Phần bài tập tự thực hành
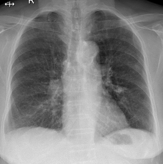
Hãy phân tích tình huống Nữ 82 tuổi
1-Đóng vôi sụn khí phế quản 2-Xơ vôi thùy dưới phổi (T) 3-Cung động mạch chủ đóng vôi
Xem kết quả
Câu mới