Phần bài tập tự thực hành



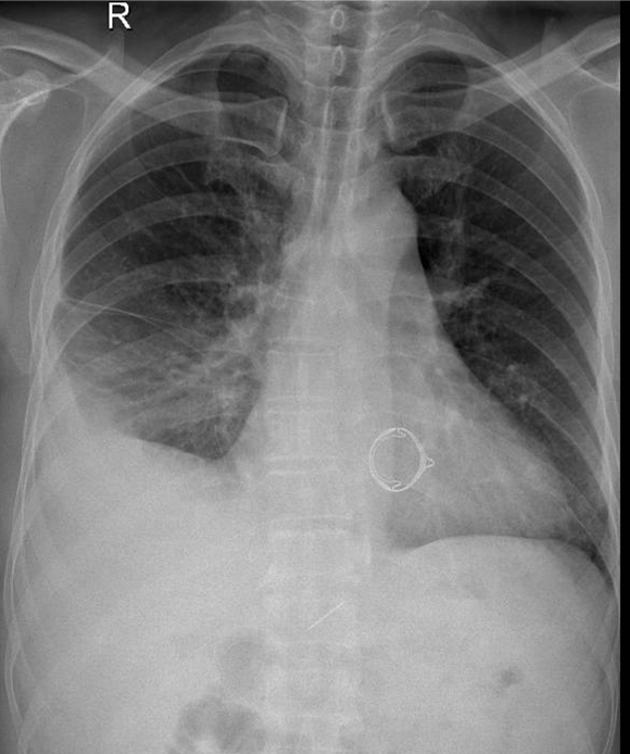
1-Thâm nhiễm phế nang lan tỏa thùy dưới phổi (P) => Viêm phổi 2-Tràn dịch màng phổi (P) lượng trung bình 3-Tim (T) lớn 4-Val tim nhân tạo