Phần bài tập tự thực hành



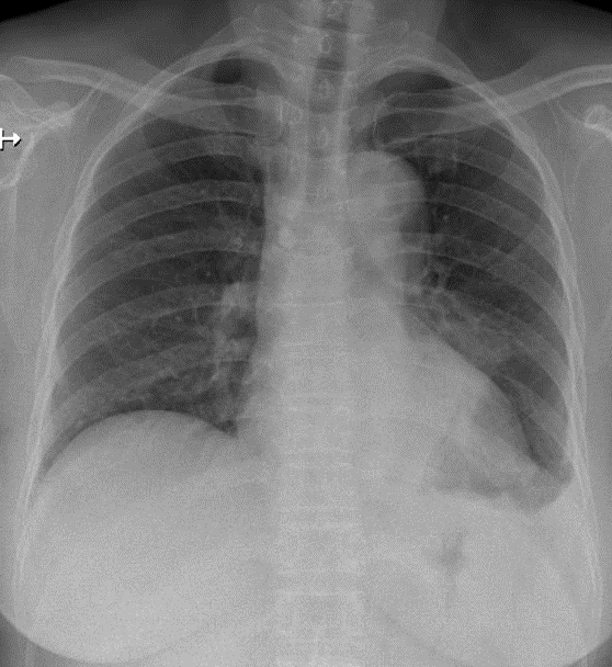
1-Tổn thương dạng khối mờ thùy dưới phổi (T) => U phổi 2-Tràn dịch màng phổi (T) 3-Cung động mạch chủ đóng vôi