Xem trang đào tạo trực tuyến
Phần bài tập tự thực hành
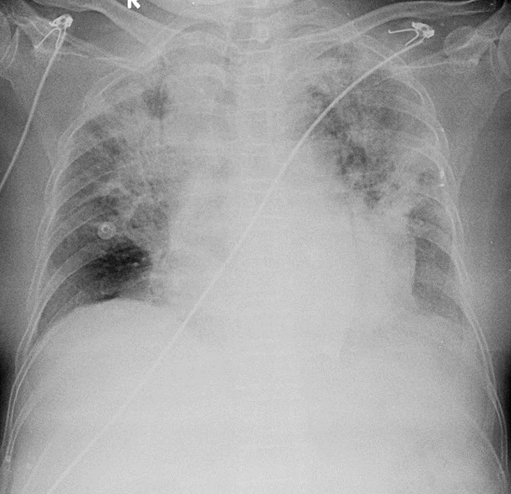
Hãy phân tích tình huống nữ 76 tuổi
1-Thâm nhiểm phế nang lan tỏa hai phổi => Viêm phổi 2-Tim to 3-Cản quang điện cực thành ngực hai bên
Xem kết quả
Câu mới