Xem trang đào tạo trực tuyến
Phần bài tập tự thực hành
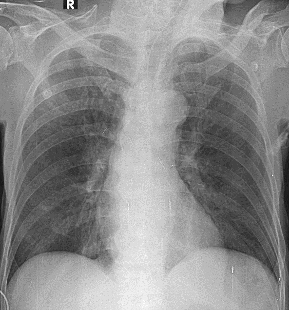
Hãy phân tích tình huống Nam 69 tuổi -CĐ: Suy hô hấp cấp đang ổn, Viêm phổi do Klebsiella pneumoniae esbl, ngưng thở khi ngủ
1-Thâm nhiễm mô kẻ thùy trên phổi (P) => VIÊM PHỔI
Xem kết quả
Câu mới