Xem trang đào tạo trực tuyến
Phần bài tập tự thực hành
Hãy phân tích tình huống
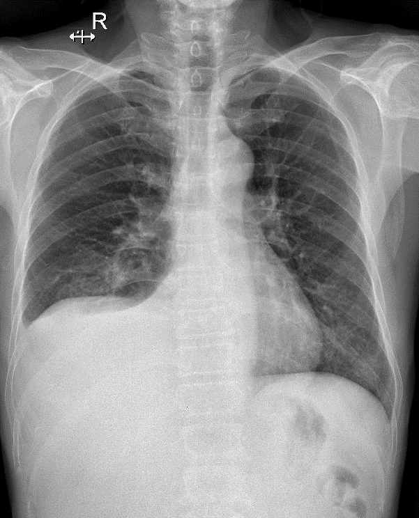
-Thâm nhiểm phế nang thùy dưới phổi (P) => Viêm phổi -Tràn dịch màng phổi (P) lượng ít
Xem kết quả
Câu mới