Phần bài tập tự thực hành



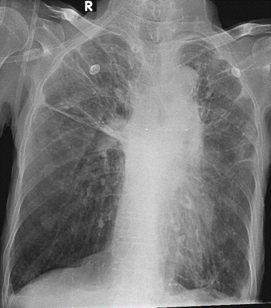
1-Xơ rải rác hai phổi 2-Khí phế thũng rải rác hai phổi đáy > đỉnh 3-Dày dính màng phổi hai bên 4-Tràn dịch màng phổi hai bên lượng ít 5-Cung động mạch chủ đóng vôi