Phần bài tập tự thực hành



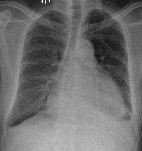
1-Thâm nhiểm phế nang lan tỏa thùy dưới hai phổi -> Viêm phổi 2-Tràn dịch màng phổi (P-T) lượng ít 3-Dày dính màng phổi (P) 4-Tim to