Phần bài tập tự thực hành



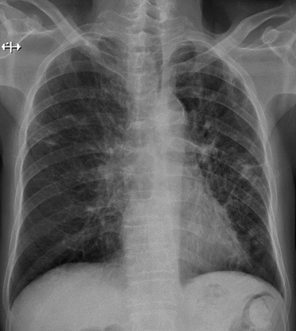
1-Khí quản bị chèn ép bên (P)-> U trung thất trước (Bướu giáp thòng thùy phải) 2-Xơ rải rác hai phổi 3-Dày dính màng phổi hai bên 4-Cung động mạch chủ đóng vôi