Xem trang đào tạo trực tuyến
Phần bài tập tự thực hành
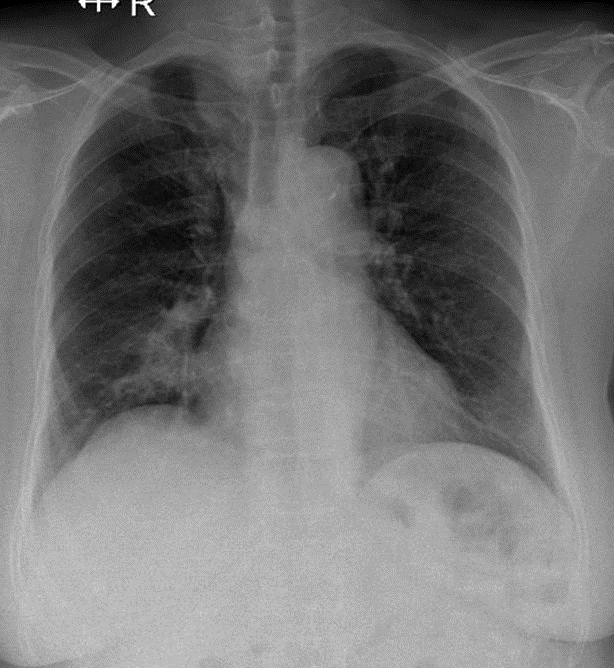
Hãy phân tích tình huống
1-Thâm nhiểm phế nang thùy giữa phổi (P) => Viêm phổi 2-Cung động mạch chủ đóng vôi
Xem kết quả
Câu mới