Xem trang đào tạo trực tuyến
Phần bài tập tự thực hành
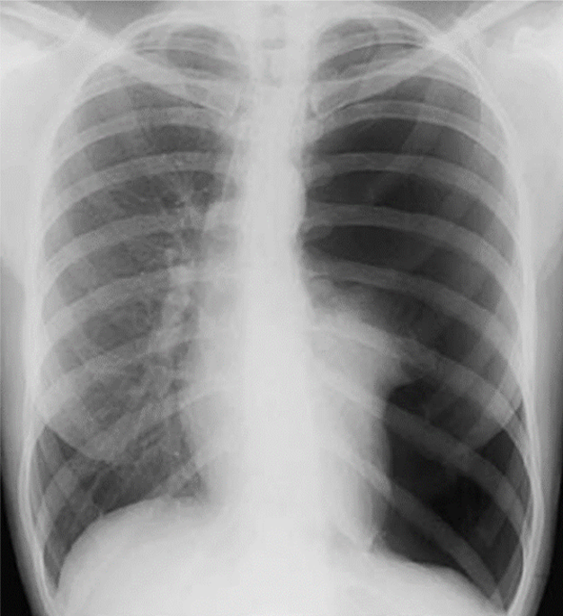
Hãy phân tích tình huống
1-Tràn khí màng phổi (T) lượng nhiều gây xẹp phổi thụ động
Xem kết quả
Câu mới