Phần bài tập tự thực hành



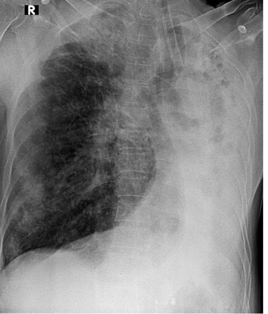
1-Khí quản lệch (T) 2-Có ống thông nội khí quản 3-Thâm nhiểm phế nang + khí phể thũng rải rác phổi (P) => Viêm phổi (P) 4-Viêm phổi + xẹp phổi (T), kéo bóng tim và trung thất lệch(T)