Phần bài tập tự thực hành



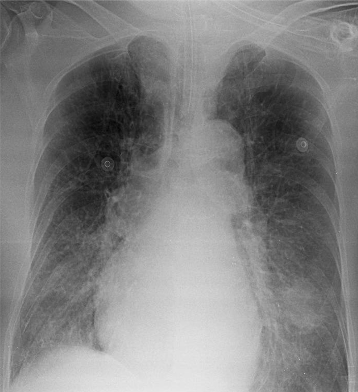
1-Có ống thông nội khí quản 2-Thâm nhiểm mô kẻ rải rác hai phổi => Viêm phổi 3-U thùy dưới phổi (T) 4-Tim to