Xem trang đào tạo trực tuyến
Phần bài tập tự thực hành
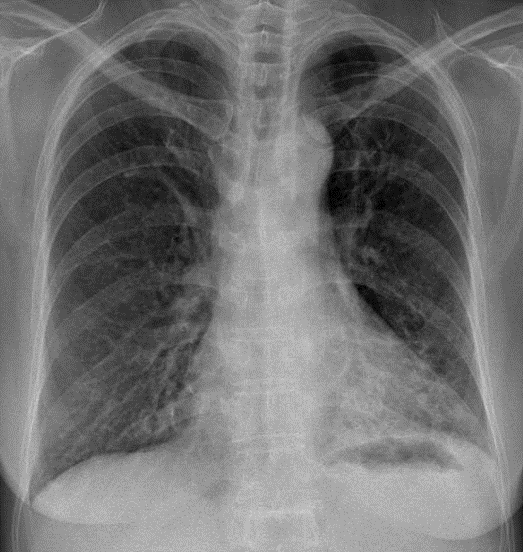
Hãy phân tích tình huống Nữ 68 tuổi
1-Tổn thương mô kẻ rải rác thùy dưới hai phổi (T)>(P) => Viêm phổi + dãn phế quản dạng túi
Xem kết quả
Câu mới