Phần bài tập tự thực hành



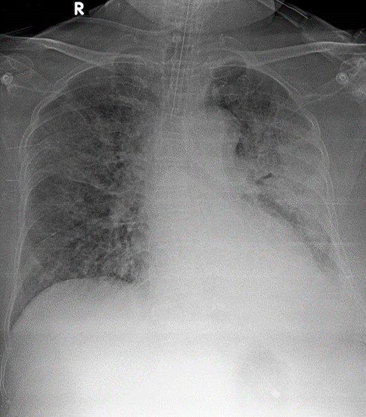
1-Thâm nhiểm phế nang lan tỏa hai phổi=> Viêm phổi 2-Tràn dịch màng phổi (T) 3-Có ống thông nội khí quản