Xem trang đào tạo trực tuyến
Phần bài tập tự thực hành
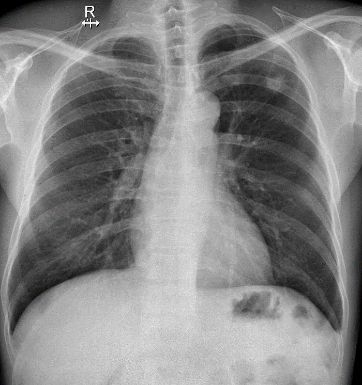
Hãy phân tích tình huống NAM 53 tuổi -CĐ: U ác phế quản phổi
1-U thùy trên phổi (T): tuberculoma, harmatoma, ...
Xem kết quả
Câu mới