Xem trang đào tạo trực tuyến
Phần bài tập tự thực hành
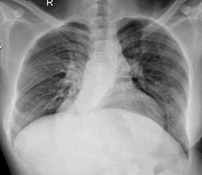
Hãy phân tích tình huống Nữ 29 tuổi -CĐ: Thông liên thất, tang áp phổi nặng, hội chứng eissenmenger
1-Tăng tuần hoàn hai phổi
Xem kết quả
Câu mới