Phần bài tập tự thực hành



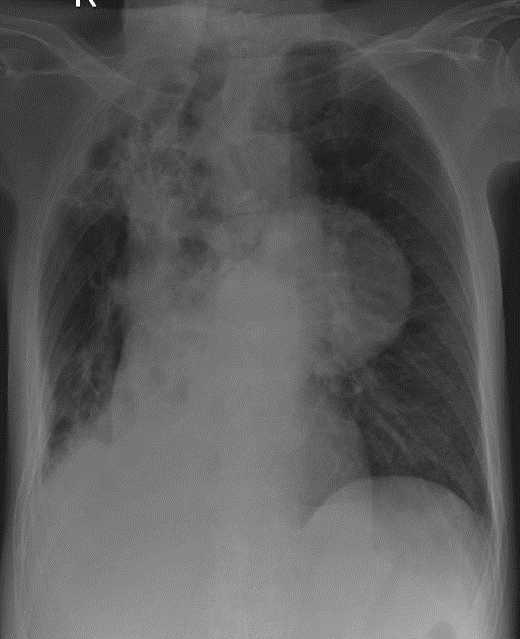
1-Khí quản lệch (P) 2-Xơ xẹp thùy trên phổi (P) 3-Thâm nhiểm phế nang thùy dưới phổi (P) => Viêm phổi 4-Dày dính màng phổi (P) 5-U trung thất (T)