Xem trang đào tạo trực tuyến
Phần bài tập tự thực hành
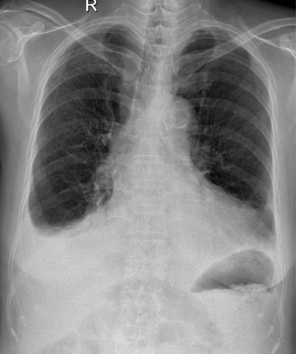
Hãy phân tích tình huống NỮ 89 tuổi
1-Tràn dịch màng phổi (P) lượng ít 2-Cung động mạch chủ đóng vôi 3-Tim (T) lớn
Xem kết quả
Câu mới