Xem trang đào tạo trực tuyến
Phần bài tập tự thực hành
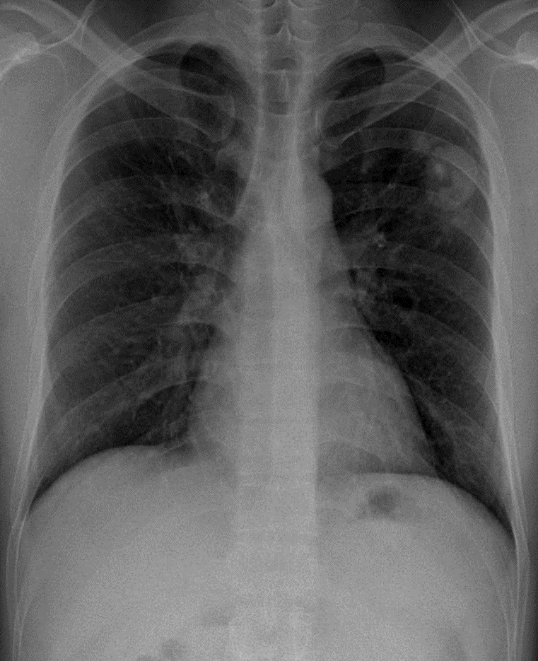
Hãy phân tích tình huống
1-U thùy trên phổi (T) 2-Tràn khí màng phổi (T) lượng ít vùng đỉnh
Xem kết quả
Câu mới