Phần bài tập tự thực hành



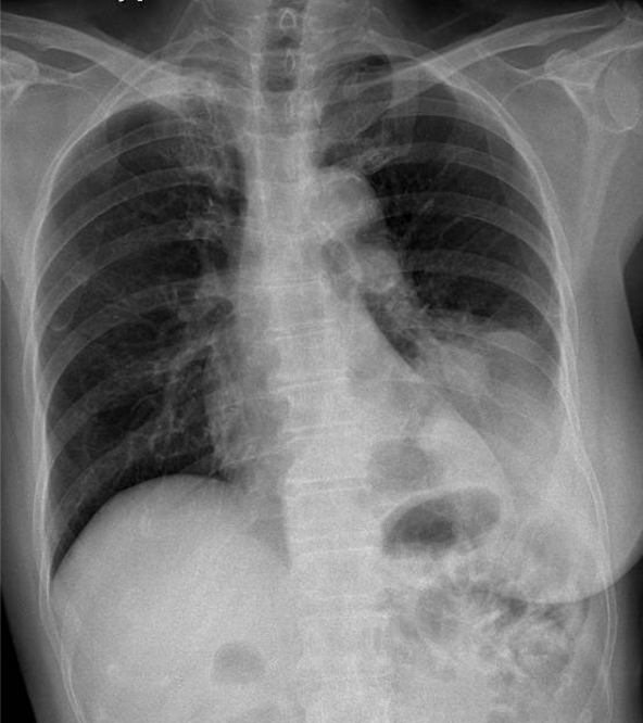
1-Xơ rải rác thùy trên phổi (P) 2-U thùy dưới phổi (T) 3-Tràn dịch màng phổi (T) 4-Cung động mạch chủ đóng vôi