Phần bài tập tự thực hành



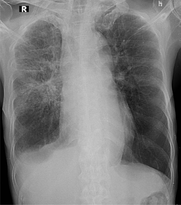
1-Thâm nhiễm mô kẻ rải rác phổi (P) => Viêm phổi 2-Khí phế thũng rải rác hai phổi 3-Tràn dịch màng phổi (P)