Phần bài tập tự thực hành



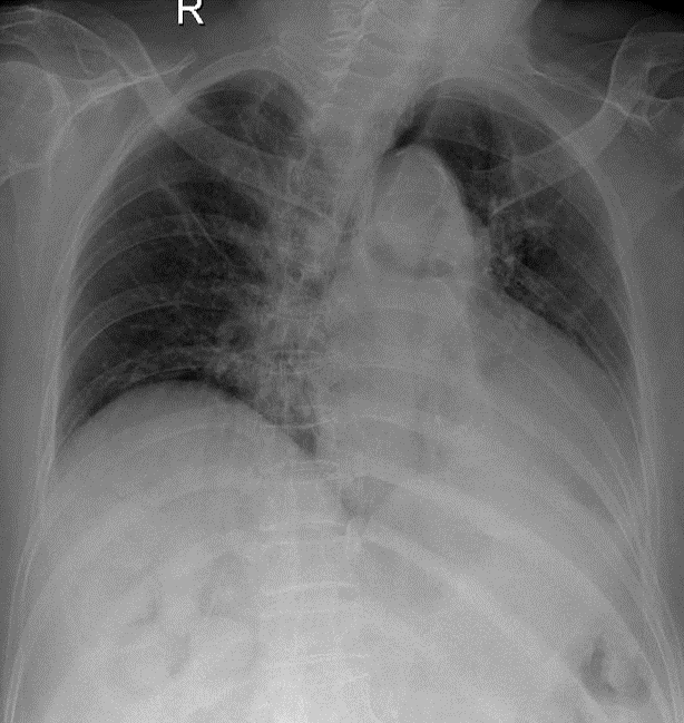
1-Khí quản lệch(T) 2-Góc carina dãn rộng 3-Xẹp thùy dưới phổi (T), kéo bóng tim và trung thất lệch(T) 4-Xơ rải rác phổi (P) 5-Cung động mạch chủ đóng vôi 6-Vẹo cột sống ngực sang (T)