Phần bài tập tự thực hành



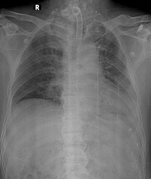
1-Đang đặt dụng cụ canul mở khí quản ra da 2-Thâm nhiểm thùy trên phổi (T) 3-Gãy 1/3 giữa xương đòn (T)