Xem trang đào tạo trực tuyến
Phần bài tập tự thực hành
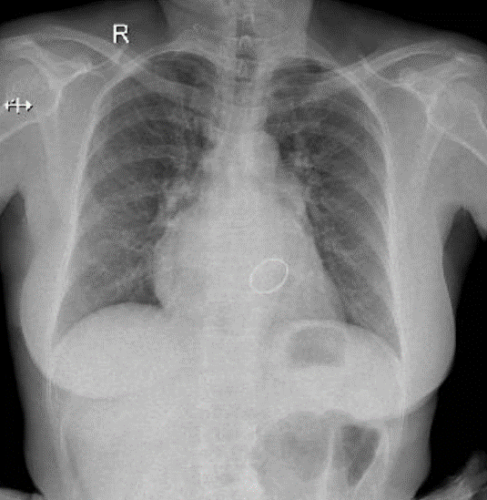
Hãy phân tích tình huống NỮ 50 tuổi -CĐ: Phẫu thuật thay val 2 lá cơ học, lấy huyết khối nhĩ (T), sữa val 3 lá
1-Bóng tim to 2- Val 2 lá nhân tạo
Xem kết quả
Câu mới