Xem trang đào tạo trực tuyến
Phần bài tập tự thực hành
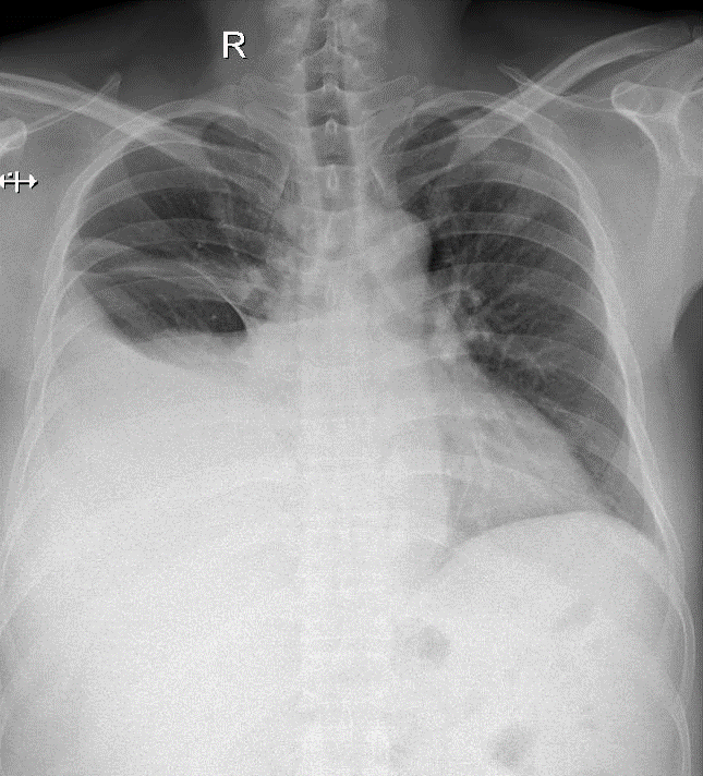
Hãy phân tích tình huống Nam 58 tuổi
1-Tràn dịch màng phổi (P) lượng nhiều
Xem kết quả
Câu mới