Xem trang đào tạo trực tuyến
Phần bài tập tự thực hành
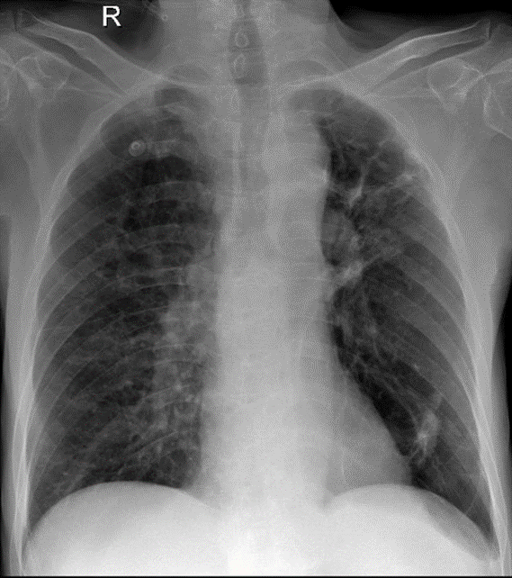
Hãy phân tích tình huống Nam 81 tuổi -CĐ: đợt cấp COPD nhóm d, cao huyết áp, loãng xương
1-Xơ vôi rải rác phổi (T), thùy trên > thùy dưới 2-Dày dính màng phổi (T)
Xem kết quả
Câu mới