Xem trang đào tạo trực tuyến
Phần bài tập tự thực hành
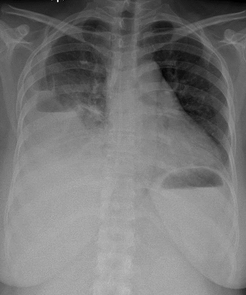
Hãy phân tích tình huống Nữ 37 tuổi
1-Thâm nhiểm thùy dưới hai phổi => VIÊM PHỔI 2-Tràn dịch + tràn khí màng phổi (P)
Xem kết quả
Câu mới