Xem trang đào tạo trực tuyến
Phần bài tập tự thực hành
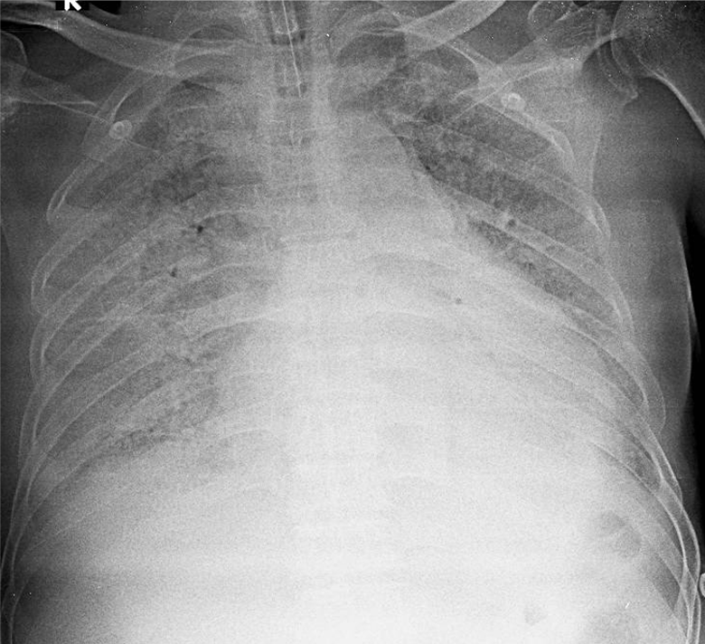
Hãy phân tích tình huống nữ 70 tuổi
1-Đang đặt nội khí quản 2-Tổn thương mô kẻ rải rác hai phổi => Viêm phổi, lao kê, ... 3-Tim to
Xem kết quả
Câu mới