Phần bài tập tự thực hành



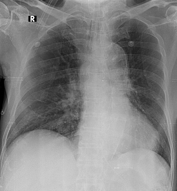
1-Đang đặc nội khí quản 2-Thâm nhiễm mô kẻ rải rác thùy dưới phổi (P) 3-Cung động mạch chủ dãn 4-Cung động mạch chủ đóng vôi 5-Tim trái lớn { dày thất trái}