Phần bài tập tự thực hành



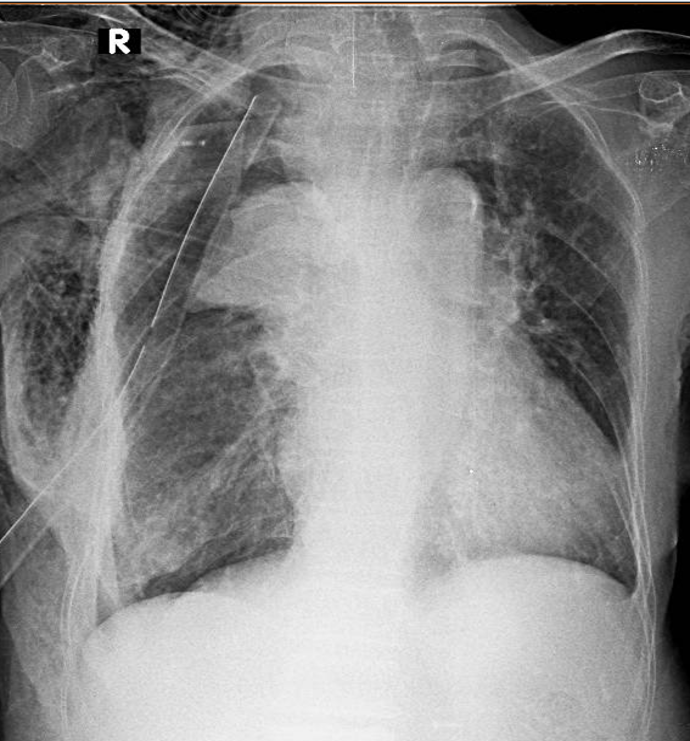
1-Viêm phổi mô kẻ thùy dưới (P) 2-Tràn khí màng phổi (P) đang dẩn lưu + xẹp thùy trên phổi (P) 3-Tràn khí dưới da thành ngực và vùng cổ (P) 4-Sonde dẩn lưu màng phổi (P) 5-Cung động mạch chủ đóng vôi