Phần bài tập tự thực hành



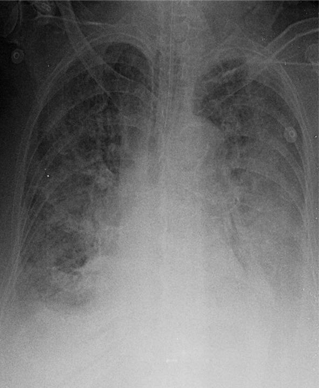
1-Thâm nhiễm phế nang lan tỏa hai phổi => Viêm phổi 2-Tràn dịch màng phổi hai bên 3-Cung động mạch chủ dãn