Phần bài tập tự thực hành



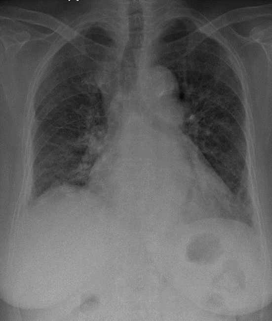
1-Góc carina dãn rộng 2-Xơ rải rác hai phổi 3-Tim to 4-Cung động mạch chủ dãn 5-Cung động mạch chủ đóng vôi