Phần bài tập tự thực hành



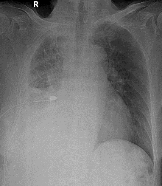
1-Thâm nhiểm phế nang lan tỏa phổi (P)=> VIÊM PHỔI 2-Tràn dịch màng phổi (P) lượng trung bình 3-Cung động mạch chủ dãn 4-Đang dẩn lưu màng phổi (P)