Phần bài tập tự thực hành



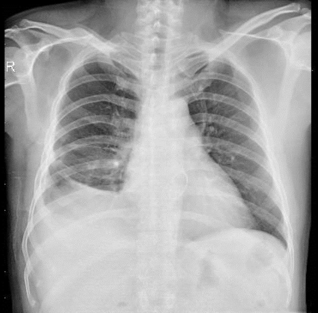
1-Thâm nhiễm lan tỏa thùy dưới phổi (P)=>Viêm phổi 2-Tràn dịch màng phổi (P) 3-Gãy cũ 1/3 giữa xương đòn(P)