Phần bài tập tự thực hành



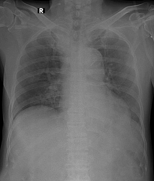
1-Thâm nhiễm phế nang lan tỏa thùy dưới phổi (P) 2-Cung động mạch chủ dãn 3-Cung động mạch chủ đóng vôi 4-Tim (T) lớn [dày thất trái ]