Xem trang đào tạo trực tuyến
Phần bài tập tự thực hành
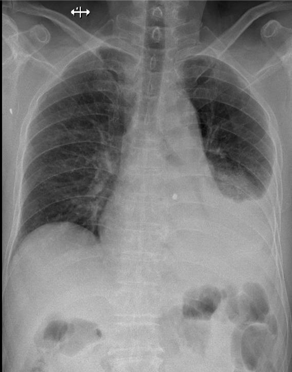
Hãy phân tích tình huống NỮ 86 tuổi -CĐ:tràn dịch màng phổi trái nghi do lao màng phổi (cđpb: K phổi), cao huyết áp
1-Thâm nhiễm phế nang thùy dưới phổi (T) => Viêm phổi 2-Tràn dịch màng phổi (T) lượng trung bình
Xem kết quả
Câu mới