Xem trang đào tạo trực tuyến
Phần bài tập tự thực hành
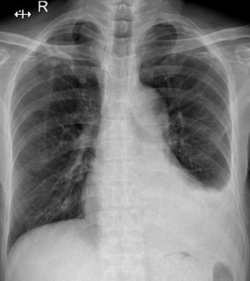
Hãy phân tích tình huống Nam 88 tuổi
1-Xơ thùy trên phổi (P) 2-Tràn dịch màng phổi (T) lượng ít
Xem kết quả
Câu mới