Phần bài tập tự thực hành



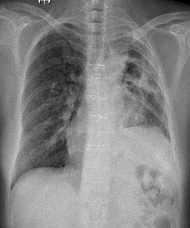
1-Thâm nhiểm phế nang lan tỏa phổi (T) => Viêm phổi 2-Tràn dịch màng phổi thể hoành 3-Cung động mạch chủ đóng vôi 4-Chỉ kim loại thành ngực dọc xương ứng 5-Chỉ kim loại ngực (T) sau phẫu thuật phổi