Xem trang đào tạo trực tuyến
Phần bài tập tự thực hành
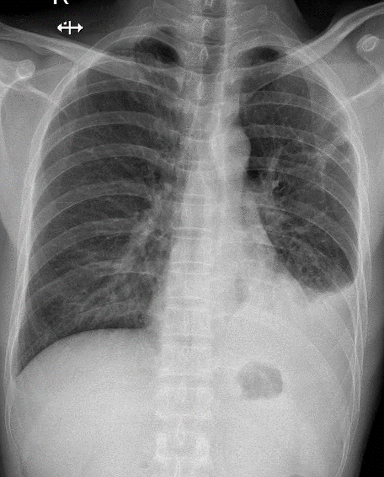
Hãy phân tích tình huống Nam
1-Xơ thùy trên phổi (T) 2-Tràn dịch màng phổi (T)
Xem kết quả
Câu mới