Xem trang đào tạo trực tuyến
Phần bài tập tự thực hành
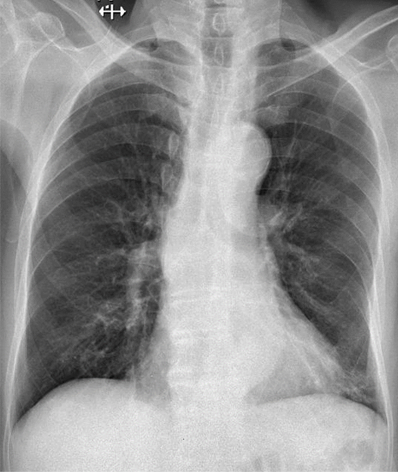
Hãy phân tích tình huống
1-Xơ thùy dưới phổi (T) 2-Cung động mạch chủ đóng vôi 3-Vẹo cột sống ngực sang (P)
Xem kết quả
Câu mới