Phần bài tập tự thực hành



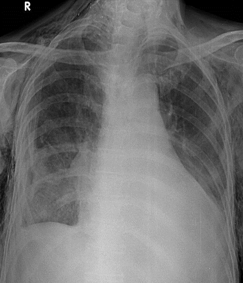
1-Tổn thương phế nang lan tỏa thùy dưới hai phổi=> Viêm phổi, dập phổi 2-Tràn dịch màng phổi (P) 3-Tràn khí màng phổi (T) lượng ít 4-Tim to 5-Gãy cung sườn sau (P): 2->6 6-Tràn khí dưới da thành ngực và vùng cổ hai bên