Phần bài tập tự thực hành



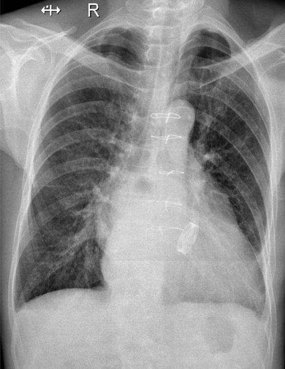
1-Thâm nhiễm mô kè rải rác hai phổi => Viêm phổi 2-Tim to 3-Chỉ cản quang kim loại dọc xương ức 4-Val tim nhân tạo