Phần bài tập tự thực hành



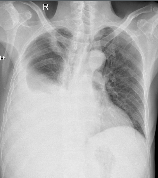
1-Khí quản lệch(T) 2- Dải xơ thùy trên phổi (P) 3-Tràn dịch màng phổi (P) lượng nhiều 4-Vẹo cột sống ngực sang (P) 5-Tật bẩm sinh dính cung trước (T) xương sườn 1-2