Xem trang đào tạo trực tuyến
Phần bài tập tự thực hành
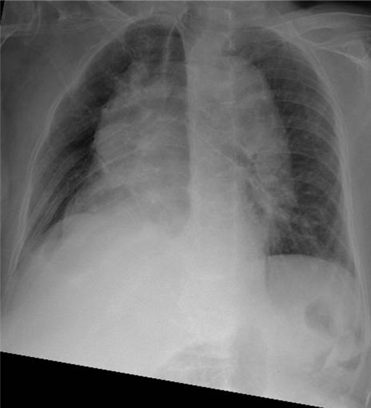
Hãy phân tích tình huống Nữ 95 tuổi
1-Khí quản lệch (P) 2-Đóng vôi sụn khí phế quản 3-Phình động mạch chủ ngực đoạn lên
Xem kết quả
Câu mới