Phần bài tập tự thực hành



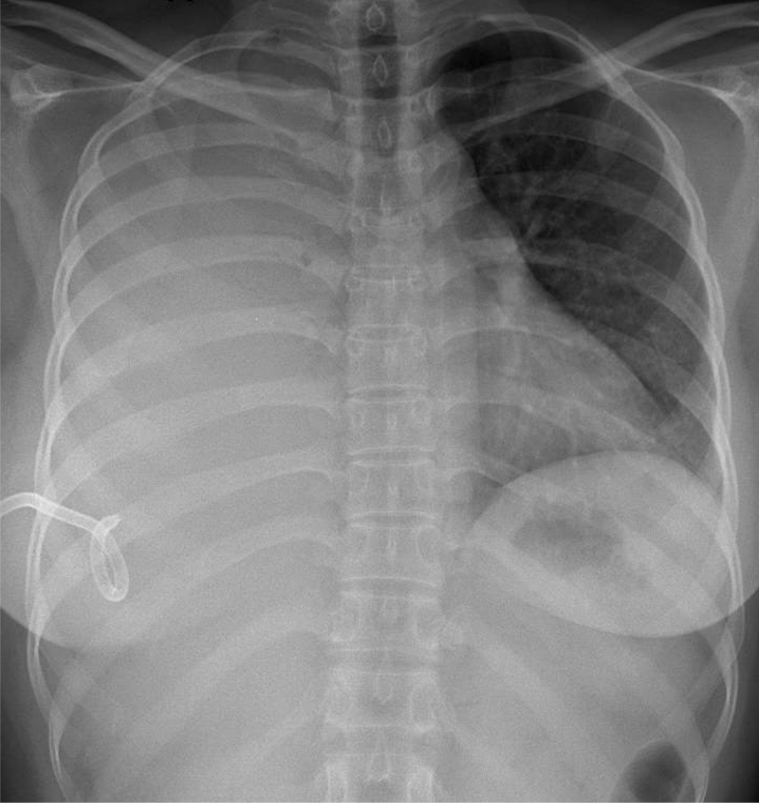
1-Tràn dịch màng phổi (T) lượng nhiều đẩy bóng tim và trung thất lệch(T) 2-Màng phổi (P) đang dẩn lưu