Phần bài tập tự thực hành



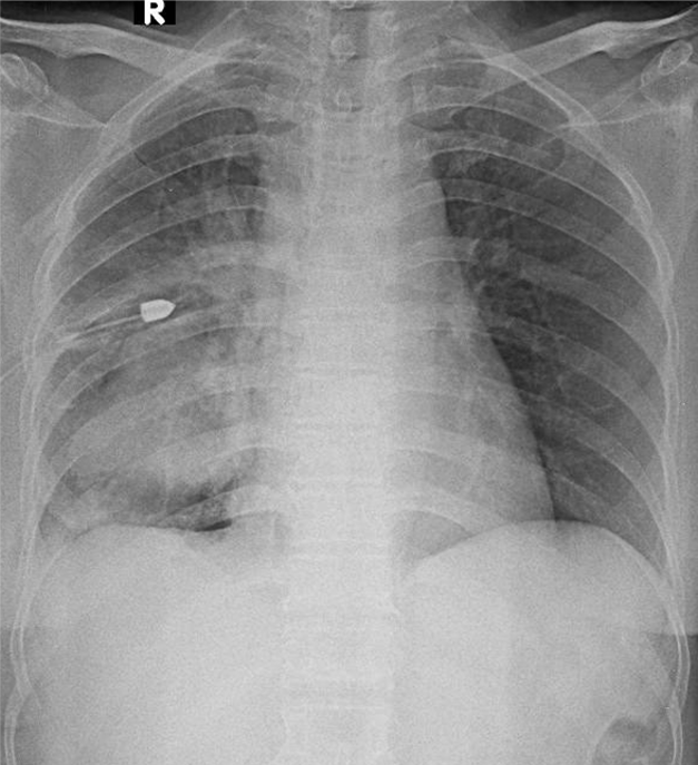
1-Thâm nhiễm phế nang lan tỏa phổi (P) => Viêm phổi 2-Khối mờ đồng nhất thùy dưới phổi (P) => TD u phổi 3-Tràn dịch màng phổi (P) 4-Đang dẩn lưu màng phổi (P)